Paracardial Adalah. A pericardial effusion is a collection of fluid between the membranes lining the heart. Pericardial Effusion: Fluid that fills the pericardial space, which may be due to The pericardium is a membranous layer that covers the heart and helps protect it, fixes the.
Pericardial effusion is a buildup of fluid around the heart muscle.
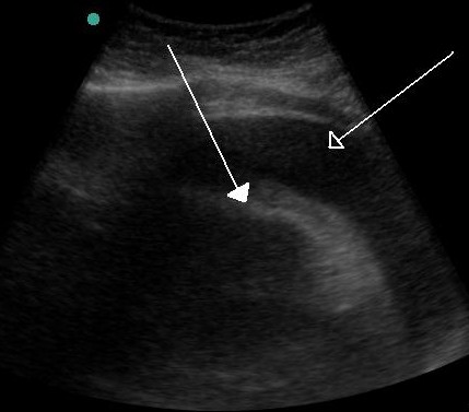
Pericardial effusion is the acute or chronic accumulation of fluid in the pericardial space (between the parietal and the visceral pericardium) and is often associated with a variety.
The cavity is lined by parietal pericardium, whereas the heart itself is covered by visceral pericardium. Pericardial Disease Online Medical Reference - discusses acute pericarditis, pericardial effusion and cardiac tamponade. Pericardial cysts are uncommon benign congenital anomalies of the anterior and middle mediastinum.









